Select Your Language

Notifications

webdunia
webdunia
webdunia
webdunia

ശ്വാസകോശം കഴുകി വൃത്തിയാക്കി ചികിത്സ, യുഎഇയിൽ ചരിത്ര സംഭവം !

വാർത്ത
, വെള്ളി, 13 ഡിസം‌ബര്‍ 2019 (17:18 IST)
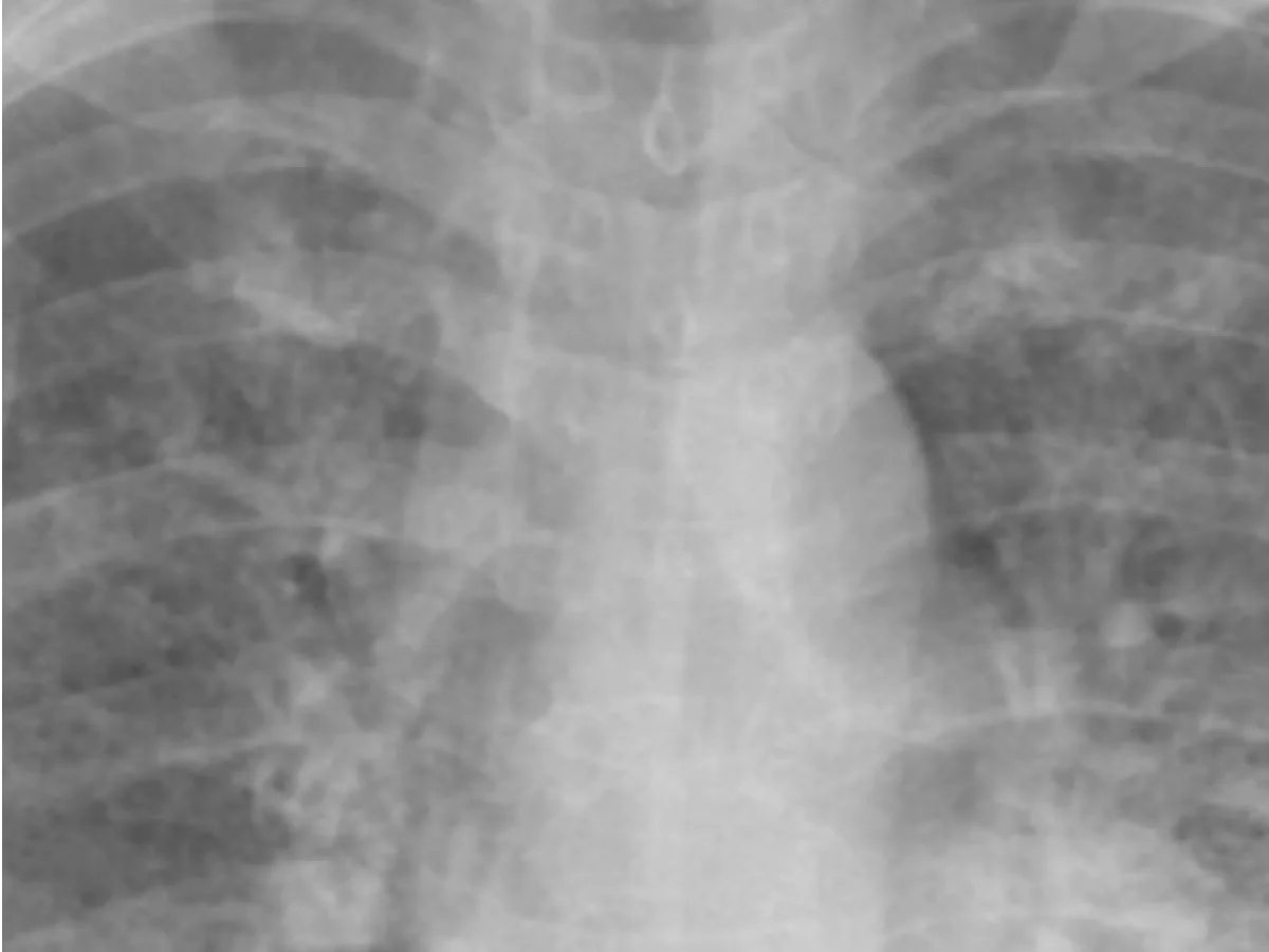
ദുബായ്: അപൂർവ രോഗം കാരണം ശ്വാസ തടസം നേരിട്ട് ആശുപത്രിയിലെത്തിയ ബംഗ്ലാദേശി സ്വദേശിയുടെ ശ്വാസകോശം ശസ്ത്രക്രിയയിലൂടെ കഴുകി വൃത്തിയാക്കി അബുദാബിയിലെ ക്ലീസ് ലാൻഡ് ക്ലിനിക്ക്. യുഎഇയിൽ ആദ്യമായാണ് ഈ ചികിത്സാ രീതി വിജയകരമായി പൂർത്തിയാക്കുന്നത്. ശസ്ത്രക്രിയക്ക് ശേഷം ബംഗ്ലാദേശി സ്വദേശി പൂർണ ആരോഗ്യം വീണ്ടെടുത്ത് കഴിഞ്ഞു. 
 
ശ്വാസകോശത്തിൽ പ്രോട്ടീൻ അടിഞ്ഞുകൂടുന്ന പൾമൊനറി ആൽവിയൊളാർ പ്രൊട്ടീനോസീസ് എന്ന മാരക രോഗവുമായാണ് അൽഐനിയിൽ ഡ്രൈവറായി ജോലി ചെയ്യുന്ന ബൽഗ്ലാദേശ് സ്വദേശി ആശുപത്രിയിലെത്തിയത്. ഇതോടെ സ്വാസകോശം കഴുകി വൃത്തിയാക്കുക എന്ന ശ്രകരമായ ശസ്ത്രക്രിയക്ക് ആശുപത്രി അധികൃതർ തയ്യാറാവുകയായിരുന്നു.
 
ഡോ റേധ സോയുലമാസിന്റെ നേതൃത്തിലുള്ള സംഘം 4 മണിക്കൂർ നേരം നലു മണികുർ നീണ്ട ശസ്ത്രക്രിയയിലാണ് ശ്വാസകോശം കഴുകിയത്. ശ്വസകോശ കഴുകുന്ന സമയം ക്രിത്രിമ ശ്വാസകോശം ഘടിപ്പിച്ച് രക്തയോട്ടം ക്രമപ്പെടുത്തി. 26 ലിറ്റർ വെള്ളം ഉപയോഗിച്ചാണ് ശ്വാസകോശം കഴുകി വൃത്തിയാക്കിയത്. 

Share this Story:

Follow Webdunia malayalam

അടുത്ത ലേഖനം

ഭക്ഷണത്തിനു ശേഷം ഉടനെ കുളിക്കാറുണ്ടോ? എങ്കിൽ സൂക്ഷിക്കണം!